राजीव सातव यांच्या शरीरात आढळलेला सायटोमॅजिलो व्हायरस नेमका काय? धोका कुणाला?
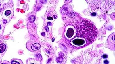
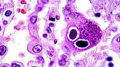
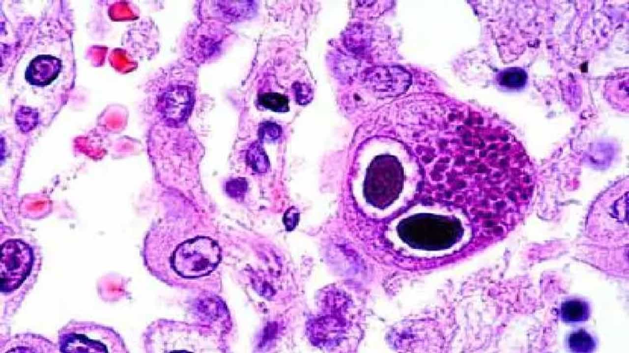
अमेरिकेतील 40 वर्ष पूर्ण असलेल्या जवळपास निम्याहून अधिक व्यक्तींच्या शरिरात सायटोमॅजिलो विषाणू आढळून येतो. Cytomegalovirus Corona Health

मुंबई: काँग्रेसचे खासदार राजीव सातव (Rajeev Satav) यांचे कोरोना संसर्गाानंतर उपचारादरम्यान निधन झाले. त्यांच्या शरीरात सायटोमॅजिलो व्हायरस (Cytomegalovirus) आढळून आला होता. हा व्हायरसही नवीन प्रकारचा असल्याने आरोग्यमंत्री राजेश टोपे सातव यांच्यावर उपचार करणाऱ्या डॉक्टरांच्या संपर्कात होते. मात्र, यामुळे सामटोमॅजिलो व्हायरस नेमका काय आहे याविषयी माहिती असणं आवश्यक आहे. (Congress MP Rajeev Satav suffer from Cytomegalovirus know full details)
सायटोमॅजिलो व्हायरस नेमका काय?
सायटोमॅजिलो ( Cytomegalovirus) हा विषाणू सर्वसाधारण विषाणू आहे. अमेरिकेतील 40 वर्ष पूर्ण असलेल्या जवळपास निम्याहून अधिक व्यक्तींच्या शरिरात तो आढळून येतो. हा विषाणू संसर्गित व्यक्तीच्या संपर्कात आलेल्यांकडे लाळ किंवा थुंकी द्वारे प्रसारित होतो. या विषाणू संसर्गामुळे चेहऱ्यावर किंवा तोंडाच्या आतल्या भागात, ओठावर फोड येतात.
रोग प्रतिकार शक्ती कमजोर असणाऱ्यांसाठी धोका
ज्या व्यक्तींची रोग प्रतिकार शक्ती चांगली आहे ते या विषाणू संसर्गावर मात करु शकतात रोग प्रतिकारशक्ती चांगली असणाऱ्यांवर या विषाणूचा प्रभाव जाणवत नाही. मात्र, ज्या व्यक्तींची रोग प्रतिकार शक्ती कमजोर असते त्यांच्याशी हा विषाणू धोकादायक ठरु शकतो.
सायटोमॅजिलोची लक्षणं कोणती?
सायटोमॅजिलोची प्राथमिक लक्षणं म्हणजे तुमच्या व्यक्तिमत्वामध्ये बदल जाणवतात. डोकेदुखे, श्वास घेताना कमतरता जाणवते. ताप येणे ही सायटोमॅजिलोची लक्षणं आहेत. सायटोमॅजिलोचा संसर्ग झालेला आहे की नाही हे पाहण्यासाठी रक्त चाचणी केली जाते. सायटॉमॅजिलो हा विषाणू लहान मुलांमध्ये देखील आढळतो. याशिवाय गरोदर महिलांमध्येही हा विषाणू आढळून येतो. सायटोमजिलो झाला आहे की नाही हे तपासण्यासाठी रक्त चाचणी आणि इतर मार्गांचा वापर केला जातो.
Black Fungus Mucormycosis Symptoms : काळ्या बुरशीची लक्षणे आणि उपाय काय?#BlackFungus #Mucormycosis #COVID19 #CoronaSecondWave https://t.co/WYK7H5GAX9
— TV9 Marathi (@TV9Marathi) May 15, 2021
संबंधित बातम्या:
कोरोना विषाणू फुफ्फुसांना कसा पोखरतो? वैज्ञानिकांना महत्त्वपूर्ण माहिती मिळाली
कोरोना पुढील काळात आणखी धोकादायक, परिस्थिती बिघडू शकते, बिल गेटस यांचा इशारा
( Congress MP Rajeev Satav suffer from Cytomegalovirus know full details)