बापरे, वृद्धेच्या डोक्यात आढळली सुई, या घटनेचे तिच्या जन्मवेळेशी कनेक्शन
एका 80 वर्षी वृद्धेच्या डोक्यात सुई आढळली आहे. या महिलेला तिच्या डोक्यात सुई असूनही कसलाही त्रास होत नव्हता. परंतू या सुई मागे तिच्या जन्मावेळची परिस्थिती कारणीभूत असल्याचे म्हटले जात आहे.

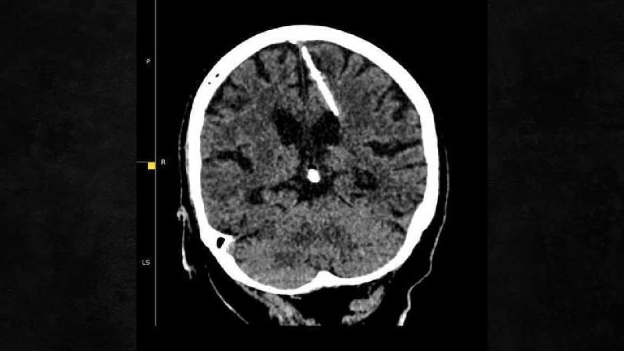
मॉस्को | 5 ऑक्टोबर 2003 : एका 80 वर्षीय रशियन वृद्धेच्या डोक्यात सुई असल्याचे डॉक्टरांच्या तपासात उघड झाले आहे. ही सुई तिच्या डोक्यात कशी काय गेली याचा धक्कादायक तर्क काढण्यात आला आहे. आरोग्य मंत्रालयाने टेलिग्राम पोस्टवर लिहीले आहे की या महिलेचा एक्स रे काढला असता डोक्यात तीन सेंटीमीटरची सुई आढळली. डॉक्टरांना नेमकं केव्हा हे कळलं हे स्पष्ट लिहीले नसले तरी साल 2023 मध्ये ही धक्कादायक घटना आहे. या घटनेमागे या वृद्धेला तिच्या आई-वडीलांनी ती लहान असताना सुई टोचून मारण्याचा प्रयत्न केला असावा असे म्हटले जात आहे.
रशियन मंत्रालयाने महिलेचे नाव सांगितलेले नाही. डॉक्टरांनी म्हटले आहे की तिच्या लहानपणी तिच्या आई-वडीलांनी तिला मारण्याचा प्रयत्न केला असावा असे म्हटले आहे. युद्ध काळात नैराश्याने ग्रासलेले आई-वडील नवजात शिशूच्या डोक्यात नरम हाडांमध्ये सुई टोचायचे. हाडे विकसित झाली नसल्याने सुई आत जाते. दुष्काळातही अशा घटना असामान्य मानल्या जात नव्हत्या.
कधी डोके दुखी नाही
या बुजुर्ग महिलेचा जन्म साल 1943 च्या दरम्यान झाला तेव्हा बालहत्येचे प्रमाण जास्त होते. आरोग्य मंत्रालयाने दिलेल्या माहीतीनूसार ही महिला आश्चर्यकारक वाचली आणि तिला त्या सुईमुळे कधी डोके दुखीचा सामनाही करावा लागला नसल्याने बाब उघड झाली नाही. आता डॉक्टरांनी सुई काढण्याचा प्रयत्न करणार नसल्याचे म्हटले आहे. कारण या वयात वृद्धेची सर्जरी केली तर तिची अवस्था आणखीन खराब होईल. त्यामुळे या वृद्धेला निरीक्षणाखाली ठेवण्यात येणार असल्याचे डॉक्टरांनी म्हटले आहे.
पाच लाख लोकसंख्या
सखालिन रशियाच्या मुख्य भूमीपेक्षा दक्षिण-पूर्व तटावर असून सुमारे पाच लाख लोकसंख्येचे बेट आहे. हे बेट जपानच्या होक्काइडोच्या बरोबर उत्तरेला ओखोटस्क समुद्रात आहे. 20 व्या शतकाच्या सुरुवातीला सखालिनचे नियंत्रण सोव्हीएत संघ आणि जपानी साम्राज्यामध्ये विभागलेले होते. परंतू दुसऱ्या महायुद्धात मॉस्कोने याला पूर्णपणे आपल्या कब्जा घेतले.