15 वर्षीय मुलाच्या गुप्तांगात अडकली USB केबल, डॉक्टरांना करावी लागली शस्त्रक्रिया
कधीकधी उगाच केलेल्या फालतू प्रयोगांमुळे लोकांना मोठी किंमत मोजावी लागते. लंडनमध्ये एका विचित्र प्रयोगामुळे एका 15 वर्षांच्या मुलाच्या गुप्तांगात एक USB केबल अडकली.

मुंबई : कधीकधी उगाच केलेल्या फालतू प्रयोगांमुळे लोकांना मोठी किंमत मोजावी लागते. लंडनमध्ये एका विचित्र प्रयोगामुळे एका 15 वर्षांच्या मुलाच्या गुप्तांगात एक USB केबल अडकली. ती केबल मुलाच्या शरीरातून बाहेर काढण्यासाठी डॉक्टरांना शस्त्रक्रिया करावी लागली. डॉक्टरांनी सांगितले की, तो मुलगा गुप्तांगाची लांबी USB केबलच्या सहाय्याने मोजत होता. (15 year old Teen gets USB cable stuck in penis while measuring length)
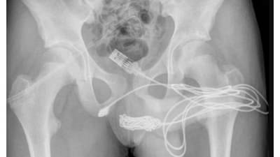
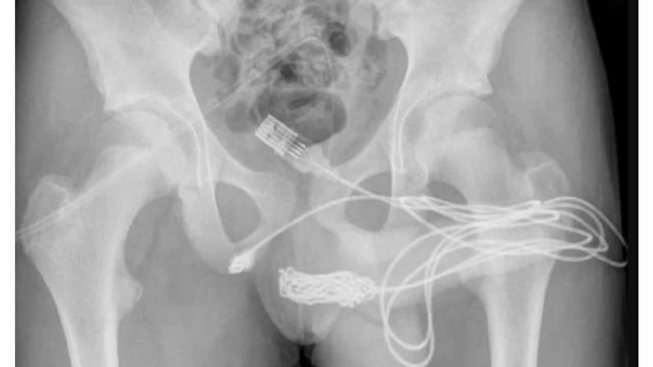
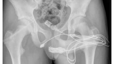
अहवालानुसार, हा प्रयोग मुलासाठी धोकादायक ठरला जेव्हा आधीच गुंडाळलेली केबल त्याच्या प्रायव्हेट पार्टमध्ये अडकली. यूएसबी केबलची दोन्ही टोके प्रायव्हेट पार्टच्या आत गेली होती, त्यामुळे ती काढणे खूप कठीण झाले होते.
यूएसबी केबल अडकल्यानंतर, मुलाने ती काढण्याचा खूप प्रयत्न केला, परंतु त्याचा परिणाम असा झाला की, त्याच्या लघवीतून भरपूर रक्तस्त्राव सुरू झाला. हे पाहून कुटुंबीय घाबरले आणि त्यांनी त्या मुलाला ताबडतोब रुग्णालयात नेले. युरोलॉजी प्रकरणाच्या अहवालानुसार, यूएसबी केबल जननेंद्रियांमध्ये इतकी अडकली होती की, डॉक्टरांना विशेष साधनांच्या मदतीनेदेखील ते काढता आले नाही.
मुलाची प्रकृती बिघडत असल्याचे पाहून त्याला तातडीने युनिव्हर्सिटी कॉलेज हॉस्पिटल, लंडन येथे उपचारासाठी हलवण्यात आले. मुलाने त्याच्या आईच्या अनुपस्थितीत त्याचे ऑपरेशन करण्याची विनंती केली. त्याने डॉक्टरांना असेही सांगितले की त्याने लैंगिक उत्सुकतेतून त्याचे गुप्तांग मोजण्यासाठी हे केले होते.
एक्स-रे अहवालात डॉक्टरांना यूएसबी केबलचा आकार आणि स्थिती समजली. यानंतर मुलाला तातडीने शस्त्रक्रियेसाठी हलवण्यात आले. आधी डॉक्टरांनी मोठ्या प्रयत्नांनंतर केबलची गाठ बाहेर काढली. यानंतर उर्वरित USB बाहेर काढण्यात यश आले.
शस्त्रक्रियेदरम्यान कोणतेही कॉम्प्लीकेशन्स झाले नाहीत. रिकवरीनंतर, मुलाला दुसऱ्याच दिवशी रुग्णालयातून घरी सोडण्यात आले. शस्त्रक्रियेनंतर दोन आठवड्यांनी फॉलो-अप स्कॅनसाठी डॉक्टरांनी त्याला बोलवले. स्कॅनिंगनंतर डॉक्टरांनी सांगितले की, त्या मुलाचे कोणत्याही प्रकारचे कायमचे नुकसान झाले नाही. तथापि, भविष्यात मॉनिटरिंगची आवश्यकता असेल.
डॉक्टरांनी सांगितले की, गुप्तांगात अशा प्रकारे एखादी वस्तू अडकणे घातक सिद्ध होऊ शकतं. लघवी करण्यात अडथळा येऊ शकतो. प्रभावित भागात जळजळ होऊ शकते. मूत्राद्वारे रक्त बाहेर येऊ शकते. एखादी व्यक्ती खूप वेदनांची तक्रार करू शकते.
एवढेच नाही तर मूत्राशय किंवा मूत्रमार्गातील समस्या देखील वाढू शकतात. डॉक्टरांनी सांगितले की, अशा परिस्थितीत, रुग्णासोबत सपोर्टिव्ह किंवा जजमेंटल मॅनरसह उपचार केले पाहिजेत, जेणेकरून तो तुम्हाला या घटनेशी संबंधित सर्व गोष्टी उघडपणे सांगू शकेल. उपचारात शल्यचिकित्सकाला याची मोठी मदत होऊ शकते.
इतर बातम्या
Video | तरुणाचा आजीसोबत जबरदस्त डान्स, व्हिडीओ पाहून नेटकऱ्यांच्या भन्नाट प्रतिक्रिया
Video | अंगाला फटाके बांधून स्टंटबाजी, पण मध्येच घोळ झाला, माणसासोबत नेमकं काय घडलं ?
(15 year old Teen gets USB cable stuck in penis while measuring length)