
तुम्हालाही तिखट खाणं आवडतं का? तसं असेल तर जरा जपूनच खा, कारण चीनमध्ये एक घटना समोर आली आहे, ज्याबद्दल जाणून तुम्हाला आश्चर्य वाटेल. एका महिलेला मसालेदार अन्नाची आवड होती, तिखट पदार्थ खाताना अचानक तिला खोकला आला आणि मोठ्याने खोकल्यावर असा धक्कादायक प्रकार तिच्यासोबत घडला, ज्याची कल्पनाही सहसा कोणी करू शकत नाही. साऊथ चायना मॉर्निंग पोस्टच्या वृत्तानुसार, चीनमधील एका महिलेला मसालेदार अन्नातून खोकला आला, ज्यामुळे तिच्या चार बरगड्या तुटल्या. शांघायमधील हुआंग या महिलेला खोकताना जबर धक्का बसला आणि तिच्या छातीतून बरगड्या तुटण्याचा आवाज ऐकू आला.
चिनी महिलेला खोकल्यानंतर काहीच झालं नाही, परंतु काही दिवसांनी तिला श्वास घेण्यास त्रास होऊ लागला आणि जेव्हा जेव्हा ती बोलायची तेव्हा बरगड्यांमध्ये वेदना होऊ लागल्या.
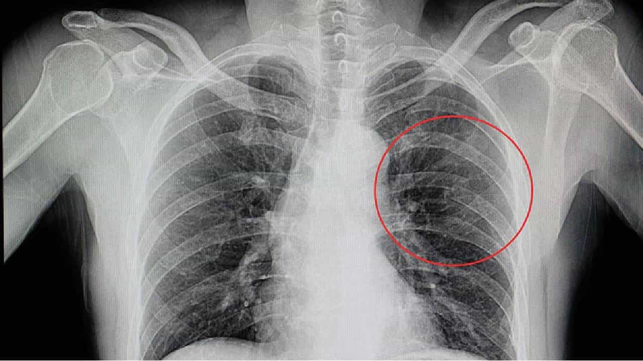
या समस्येबाबत महिला जवळच्या डॉक्टरांकडे गेली असता, तिला सीटी स्कॅन करून घेण्यास सांगण्यात आले. हा अहवाल पाहिल्यानंतर डॉक्टरांनी तिला सांगितले की, हुआंगच्या बरगड्या तुटल्या आहेत आणि तिला एक महिना कंबरेवर पट्टी बांधणे आवश्यक आहे.
तुटलेल्या बरगड्या एका महिन्यानंतर आपोआप बऱ्या होतील. डॉक्टरांनी तिला सांगितले की तिच्या बरगड्या तुटण्याचे कारण तिचे वजन कमी आहे.
हुआंगने पुढे सांगितले की तिच्या बरगड्या दिसत आहेत आणि तिच्या शरीराचा वरचा भाग खूप अशक्त आहे. हुआंगचे वजन फक्त ५७ किलो असून तिची उंची ५ फूट ६ इंच आहे.
एका डॉक्टरने जखमी महिला हुआंगला सांगितले की, “तुमच्या बरगड्या सहज दिसू शकतात. वजन कमी असल्याने हाडांना आधार देण्यासाठी स्नायू नाहीत, त्यामुळे खोकला आल्यावर तुमच्या बरगड्या तुटल्या.”
ही बातमी प्रचंड व्हायरल झाली. दुखापतीतून बरे झाल्यानंतर ती आपले स्नायू आणि शरीराच्या वरच्या वजनात वाढ करण्यासाठी शारीरिक व्यायाम करेल असं आता हुआंग म्हणतेय.