दात मजबूत आणि चमकदार बनवण्यासाठी या टीप्स फॉलो करा, किडण्याची समस्या होईल दूर
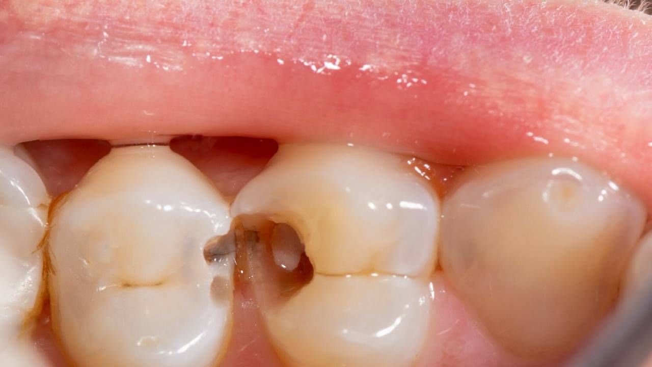
सध्याच्या बदललेल्या जीवनशैलीमध्ये दात किडण्याची समस्या मोठी आहे. लहान मुलांपासून ते मोठ्यांपर्यंत सर्वांनाच ही समस्या आहे. दात न किडण्यासाठी आपण काही गोष्टी फॉलो करणे अत्यंत आवश्यक आहेत.

प्रत्येकाला दात मजबूत आणि चमकदार हवे असतात .मात्र, सध्याच्या परिस्थितीला जवळपास सर्वांनाच दातांच्या अनेक समस्या आहेत. दात किडनी ही सर्वात मोठी समस्या आहे. लहान मुलांपासून ते मोठ्यापर्यंत सर्वांचेच दात किडतात.

मजबूत आणि चमकदार दातांसाठी सर्वात महत्वाचे आहे की, दररोज स्वच्छ दात साफ केली पाहिजेत. तेव्हाही आपण काही खातो, त्यावेळी दातांवर आणि हिरड्यांवर त्याचा परिणाम होतो.

हेच नाही तर बऱ्याचदा जीवनसत्त्वांच्या कमतरतेमुळे देखील तुमचे दात खराब होऊ शकतात. आपल्या दातांना चांगले ठेवण्यासाठी सर्वात महत्वाचे दूध आहे. दुधामुळे दातांच्या अनेक समस्या दूर होतात.

दात न किडण्यासाठी सर्वात चांगला उपाय म्हणजे दोन टाईम ब्रश करणे. सकाळी एकदा आणि रात्री झोपण्याच्या अगोदर असे दोनदा ब्रश केल्याने दात किडण्याची समस्या दूर होण्यास मदत होते.

शिवाय जास्त थंड आणि गरम खाद्यपदार्थ खाणे टाळा. यामुळे आपल्या दातांना ईजा होते. कमकुवत हिरड्या होण्याचा धोका अधिक वाढतो, या गोष्टी फॉलो केल्या तर दातांची समस्या कधीच होणार नाही.