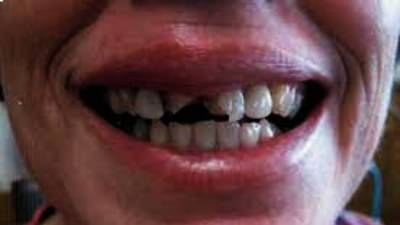
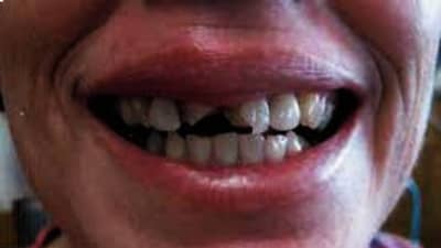
इतर तरुणांची नजर आपल्या प्रेयसीवर पडू नये म्हणून त्याने चक्क तिचे दोन दात तोडले
इतर तरुणांनी आपल्या प्रेयसीकडे पाहू नये म्हणून प्रियकरानं हे कृत्य केलं होतं. आपली प्रेयसी सुंदर दिसू नये म्हणून प्रियकरानं चक्क तिचे दोत दात तोडल्याच्या या घटनेनं सगळेच हादरुन गेले होते.

खऱ्या बातम्या जगात फार काळ टिकून राहत नाहीत, अशा आशयाचा एक विनोदी मेसेज सोशल प्लॅटफॉर्म (Social Platform) असणाऱ्या इन्स्टाग्रामवर (Instagram) फिरतोय. यासोबत एक फोटो देखील जोडण्यात आला आहे. ज्यामध्ये आहे एक बातमी..!
एका प्रियकरानं चक्क आपल्या प्रेयसीचे दोन दात तोडले. असं करण्यामागचं कारणंही खतरनाकच आहे. आपल्याशिवाय दुसऱ्या कुणाचाही नजर तिच्यावर पडू नये यासाठी प्रियकारनं हे कृत्य केलं, असा दावा या बातमीतून केलं जातोय. एक विनोदी घटना म्हणून इन्स्टाग्रामवर फिरणाऱ्या याबाबतीच्या आम्ही थोडं खोलात गेलो आणि समोर जी माहिती आली, ती खतरनाक शब्दालाही लाजवेल अशीच होती.!
काय आहे नेमका प्रकार?
funny_memes_jokes_video या इन्स्टाग्राम अकाऊंटवरुन ही बातमी शेअर करण्यात आली आहे. जवळपास साडे नऊ हजार लोकांनी या बातमीला विनोद म्हणून घेत त्यावर खळखळून हसण्याच्या स्माईली टाकल्या आहेत. आता समजून घेऊयात नेमकी घरी घटना आहे तरी काय?
तर मंडळी ही घटना जवळपास तब्बल तीन वर्ष जुनी आहे. घटना अहमदाबादची असून ती खरीदेखील आहे. मात्र आता पुन्हा एकदा सोशल मीडियात या घटनेची चर्चा रंगू लागली आहे.
तीन वर्षांपूर्वी अहमदाबादमधील एका व्यक्तीनं खरंच आपल्या प्रेयसीचे दोन दातच तोडून टाकले. असं या प्रियकरानं नेमकं केलं तरी का? असा प्रश्न अनेकांना पडला होता. तब्बल 15 वर्ष एक कपल लिव्ह-इन रिलेशनशीपमध्ये राहत होतं. यापैकी प्रियकरानं जबरदस्ती आपल्या प्रेयसीचे दात तोडलेय. आपली प्रेयसी सुंदर दिसली, तर तिच्यावर इतरांचीही नजर पडू शकते. त्यामुळे प्रियकरानं असं कृत्य केलं होतं.
इतर तरुणांनी आपल्या प्रेयसीकडे पाहू नये म्हणून प्रियकरानं हे कृत्य केलं होतं. आपली प्रेयसी सुंदर दिसू नये म्हणून प्रियकरानं चक्क तिचे दोत दात तोडल्याच्या या घटनेनं सगळेच हादरुन गेले होते.
लग्न होऊनही लिव्ह इनमध्ये
प्रेमाला वय नसतं, असं म्हणतात. खरंच आहे ते. कारण तब्बल 55 वर्षांची प्रेयसी आणि 57 वर्षांचा प्रेमी यांच्यासोबत हा सगळा प्रकार घडल्याचं उघडकीस आलं होतं. अहमदाबादच्या 55 वर्षीय महिलेचं लग्न झालं होतं. तिचं लग्न झालेल्याच एका ऑटो रिक्षा ड्रायव्हरवर प्रेम जडलं. दोघांनाही मुलं बाळं होतं. त्यांना सोडून हे दोघंही प्रेमी लिव्ह इन रिलेशनशिपमध्ये राहत होते.
दरम्यान, प्रियकरासोबत लिव्ह इनमध्ये राहत असताना त्यांन आपल्यावर अत्याचार करायला सुरुवात केली आणि आपण आपलं स्वातंत्र्य गमावून बसल्याची प्रतिक्रिया पीडित प्रेयसीनं बोलून दाखवली होती. दरम्यान, तीन वर्षांपूर्वी अहमदाबादमध्ये घडलेला हा प्रकार आता पुन्हा एकदा सोशल मीडियात चर्चिला जातोय.
इतर बातम्या –
Pune crime | शीतपेयांमधून दारू पाजत महिलेसोबत केले ‘हे’ कृत्य
स्पा सेंटरमध्ये वेश्या व्यवसाय, छाप्यात दहा जणी सापडल्या, ‘चौघीं’चं झालेलं लिंगबदल
ट्रकच्या धडकेत लातूर-औरंगाबाद बसचा चेंदामेंदा, भीषण अपघातात सहा जण जागीच ठार, आठ गंभीर