Tapeworm | धक्कादायक, माणसाच्या मेंदूत अळ्यांचे बस्तान, या कारणामुळे झाला प्रादुर्भाव
तुमचे डोके वारंवार तीव्र दुखत असेल तर तुम्ही तातडीने डॉक्टरांचा सल्ला घेऊन तपासणी करायला हवी. कारण मेंदूत अळ्या आढळणे धोकादायक असून त्यासाठी आपला आहारविहार जबाबदार आहे. या मेडीकल टर्मला न्यूरोसिस्टीरकोसिस म्हणतात, यूएसएमध्ये दरवर्षी अशाप्रकारची 1320 ते 5050 प्रकरणे नोंदवली जातात. मज्जासंस्थेतील संसर्गाशी संबंधित ही एक गंभीर स्थिती आहे,

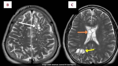
नवी दिल्ली | 11 मार्च 2024 : अमेरिकेतील एका व्यक्तीला मायग्रेनचा त्रास होत होता. त्याचे डोके चार महिन्यांपासून वारंवार दुखत होते. हे दुखणं जेव्हा सहन करण्याच्या पलिकडे गेले तेव्हा त्याने डॉक्टरांकडे धाव घेतली. त्यानंतर डॉक्टरांनी या 52 वर्षी व्यक्तीची तपासणी केली तर त्याच्या मेंदूतून चक्क अळ्या सापडल्याने डॉक्टरांनाही धक्का बसला. अशा प्रकारचे हे पहिलेच प्रकरण पाहून डॉक्टरांनाही धक्का बसला आहे. या व्यक्तीच्या मेंदूत कशा काय? अळ्यांनी प्रवेश केला याचा उलगडा जेव्हा झाला तेव्हा तर आणखीनच धक्का बसला…तुम्हाला या मागील कारण ऐकून आणखीन भीती वाटेल.
हॉस्पिटलमध्ये जेव्हा या व्यक्तीच्या मेंदूची सोनोग्राफी आणि इतर चाचण्या करण्यात आल्या तेव्हा डॉक्टरांना त्याच्या मेंदू अळ्या सापडल्या. या अळ्या आणि किडे जीवंत होते. या अळ्यांनी त्या व्यक्तीच्या मेंदूत अंडी देखील घातली होती. Tapeworm हा खरेतर परजीवी अळी असून ती वास्तविक आतड्यांमध्ये तयार होऊ शकते. परंतू तिचा मेंदू शिरकाव होण्याचे काही कारण दिसून येईना. तेव्हा डॉक्टरांनी या व्यक्तीच्या मेंदूचा आणि आहाराचा देखील अभ्यास केला. कळले की या अमेरिकन व्यक्तीने अर्धवट कच्चे मांस खाल्याने हे किडे वा अळ्या त्याच्या मेंदूपर्यंत पोहचल्या. ही व्यक्ती लहानपणापासून ( Undercooked Bacon ) बेकन हा पदार्थ खात होता. ही डीश डुकराच्या मांसापासून तयार केली जाते. अर्धवट शिजवलेल्या मांसात अनेक बॅक्टेरिया असतात. जे सेवन करणाऱ्यांच्या आतड्यात जाऊ शकतात. हे किडे आतड्यातून मेंदूत पोहचू शकतात. आणि वेगाने आपली संख्या वाढवू शकतात. आणि मेंदूत अंडी देखील घालतात.
प्राणघातक इन्फेक्शन
‘अमेरिकन जर्नल ऑफ केस रिपोटर्स’ या घटनेसंबंधीचा रिपोर्ट प्रसिद्ध झाला आहे. अमेरिकेत यापूर्वी देखील संक्रमित पोर्क ( डुक्कर ) ने इन्फेक्शन झाल्याचे प्रकार उघडकीस आले होते. त्यामुळे ही केस सर्वसाधारण आहे. आता या व्यक्तीच्या मेंदूतील अळ्यांचा खात्मा करण्यात आला आहे. आता त्याची मायग्रेनपासून सुटका देखील झाली आहे. अमेरिकन जर्नल ऑफ केस रिपोर्टमध्ये म्हटले आहे की हे इन्फेक्शन धोकादायक असून त्याने प्राणावर देखील बेतू शकते.
काय असतात लक्षणे
तीव्र आणि असह्य डोकेदुखी
अपस्माराचे झटके येणे
बोलण्यास त्रास होणे
धूसर दृष्टी
असामान्य थकवा आणि अशक्तपणा
काय काळजी घ्याल –
आपल्या सभोवतालचा परिसर स्वच्छ ठेवा
उघडे किंवा साठवलेले अन्न खाणे टाळा
कमी शिजलेले मांस किंवा कच्च्या पालेभाज्या खाणे टाळा
भाज्या खाण्यापूर्वी, त्या पाण्यात नीट धुवा
लक्षणे दिसल्यास डॉक्टरांचा सल्ला घ्या